Diagnostik, Vorsorge und Therapie

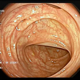
Die Darmspiegelung ist der uneingeschränkte Goldstandard für die Diagnostik und Vorsorge sämtlicher Erkrankungen des Dickdarms und des untersten Dünndarms. Die hochauflösende Bildqualität (High Definition) unserer modernen Videokoloskope ermöglicht eine zuverlässige Einordnung nahezu sämtlicher entzündlicher oder geschwulstiger Veränderungen der Dickdarmschleimhaut.

Zu den Hauptindikationen der Darmspiegelung gehören Krankheitsbilder mit Bauchschmerzen, Durchfall, plötzlicher Veränderung der Stuhlgewohnheiten, Blut im Stuhl und anale Beschwerden. Bei beschwerdefreien Patienten hat insbesondere die Vorsorgekoloskopie einen gesundheitsschützenden Stellenwert. Für Frauen wird die vorsorgende Darmspiegelung ab 55 Jahren empfohlen, für Männer ab 50 Jahren. Bei familiärer Belastung gelten andere Regeln.

2002 wurde die Vorsorgekoloskopie in Deutschland eingeführt. Und schon seit 2003 nimmt die Anzahl der Todesfälle bezogen auf alle Darmkrebspatienten kontinuierlich ab. Das heißt, dass mehr Menschen geheilt werden, die Krankheit überleben, beziehungsweise länger überleben. Die Prognose wird durch die Vorsorge besser.

Die Darmspiegelung hilft, dass Darmkrebs gar nicht erst entstehen kann. Denn während der Untersuchung werden auch Polypen entfernt, aus denen sich der Darmkrebs in der Regel entwickelt. Von allen Maßnahmen zur Früherkennung dieser Polypen besitzt die Koloskopie die höchste Empfindlichkeit. Sie weist kleinste Polypen, aber auch Darmkrebs nach, der noch keinerlei Symptome macht. Die Abtragung dieser Polypen erfolgt direkt, wenn sie entdeckt werden. Das geschieht völlig schmerzfrei. Durch die Abtragung der Polypen kann die Entstehung von Darmkrebs effektiv verhindert und die krebsbedingte Sterblichkeit gesenkt werden.

Kurz die Cookies, dann geht's weiter

Auf unseren Seiten werden sog. Cookies eingesetzt. Bei Cookies handelt es sich um kleine Textdateien, die für die Dauer Ihrer Browser – Sitzung im Zwischenspeicher Ihres Internetbrowsers (sog. Session-Cookies) oder für eine gewisse Dauer (sog. permanent – Cookies) auf Ihrer Festplatte gespeichert werden.

Erweiterungen für ein informativeres Besuchererlebnis.